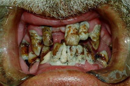
Кошмарные зубы курильщика


Путь: Фотографии последствий куренияЗдоровье





Описание изображения:

Зубы курильщиков удивительно гармонируют с цветом их лица и даже кончиков пальцев, в которых держится сигарета. Этот коричневый налет с вкраплениями пятен можно было бы считать оригинальным дизайнерским решением и желанием подчеркнуть свою необычность, если бы дело ограничивалось лишь эстетикой. Ведь все обычно заканчивается, а точнее начинается кариесом курильщика.


Параметры изображения:
Ширина: 426px
Высота: 283px


Дата публикации: 28.08.2010 • 9286 просмотров

Хотите бросить курить, но не знаете с чего начать?
Введите свой емайл, и мы пришлем вам все необходимое для этого.
Ссылка на скачивание придет на ваш е-майл. Никакого спама.
Комментарии
Оставить комментарий





Нажимая кнопку "Отправить" я выражаю свое согласие на обработку моих персональных данных.