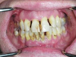
Зубы курильщиков удивительно гармонируют с цветом их лица и даже кончиков пальцев, в которых держится сигарета. Этот коричневый налет с вкраплениями пятен можно было бы считать оригинальным дизайнерским решением и желанием подчеркнуть свою необычность, если бы дело ограничивалось лишь эстетикой.
В конце концов, каждый сам для себя решает, что красиво, а что — нет. Но, отбросив шутки в сторону, следует уточнить — кариес, которые неизбежно появляется у курильщиков — не проблема красоты. Наличие кариесных зубов в организме — фактор риска развития многих заболеваний, перехода острых процессов в хронические.
Причины
Образование кариозной полости связано с истончением эмали и размягчением твердых тканей зуба. В этом патологическом процессе основную роль играют кислоты, которых в полости рта немало. Активность кислот повышается благодаря жизнедеятельности бактерий, для которых сладкая и мучнистая пища — настоящий питательный рай. Под слоем желтого налета курильщиков бактерии чувствуют себя идеально защищенными от зубной щетки, пасты, ополаскивателей. Размножаясь, они выделяют собственные кислоты, а такую концентрацию кислот эмаль, а затем и дентин зуба вынести просто не в состоянии.
Жалобы
Курильщики редко жалуются на острую зубную боль, связанную с кариесом. Во-первых, никотиновым налетом очаг кариеса прикрыт от попадания раздражающих факторов — горячего, холодного. Во-вторых, под налетом идет так называемый «сухой процесс». Он протекает медленнее, мягкие ткани, в том числе нервы поражаются не сразу. Но это, безусловно, не плюсы кариеса курильщиков.
Когда процесс разрушения, наконец—то, доходит до мягких тканей и корней, оказывается, что лечить уже нечего. Кариозная полость захватывает не только коронку зуба, но и корни. Одновременно, из-за воздействия дыма и никотина, развиваются деструктивные изменения в тканях пародонта. Итог — зубы быстро, легко и практически безболезненно покидают «насиженные места».
Диагностика и лечение
Диагноз кариеса стоматолог ставит при первом же посещении без дополнительных исследований. Если есть подозрения, то проводится рентгенологическое исследование с целью уточнения глубины кариозного процесса. Лечение начинается с удаления налета курильщика. Иногда это процесс требует нескольких посещений стоматолога. После удаления налета оголившаяся пульпа зуба, пародонт и корни зубов во всей красе продемонстрируют хозяину, что отсутствие боли еще не признак нормы.
Резко повысится чувствительность к горячему и холодному, кислому и сладкому. Могут присоединиться не интенсивные, но постоянные боль и чувство тяжести на зубах. Все это — признаки глубоко зашедшего кариеса, который начинают лечить, обеспечив доступ к кариозным полостям.
Прогноз
Если говорить о не леченом кариесе курильщика, то прогноз тут однозначен — медленно, но верно зубы выпадут. Прогноз в отношении зубов, подвергавшихся лечению, неоднозначен. Если курение продолжается, то дистрофические процессы развиваются дальше, затрагивая другие зубы, десны, а нередко и кости черепа.
