Сегодня белые зубы и ровная улыбка - это не подарок природы, а скорее показатель платежеспособности человека, но даже самые современые ухищрения стоматологов не могут полностью уничтожить налет от курения и сделать по-настоящему белыми зубы курильщиков.
При курении количество налета - состоящего из мертвых и живых бактерий, а также продуктов их жизнедеятельности и кусочков пищи, увеличивается в разы, он буквально покрывает зубы курильщика изнутри и снаружи, не только делая их желтыми, но и становясь причиной неприятного запаха изо рта.
Такая активизация бактерий связана сразу с несколькоми факторами: во-превых, табачный дым обжигает слизистую, убивая полезные микроорганизмы, а на их место тотчас "приходят" патогенные, во-вторых табачные смолы и другие вещества разрушают эмаль зуба, делая ее более "пористой" и бактериям гораздо легче становится на ней "зацепится", в-третьих никотин "подсушивает" ротовую полость, а слюна, обладающая бактерицидными свойствами - важный элемент в защите ротовой полости от налета и кариеса.
Так что появление налета от курения - это вопрос времени и сколько бы вы не чистили зубы и не посещали стоматолога, избавиться от него, не бросая курить, не удастья.
Получите свой личный план бросающего курить!
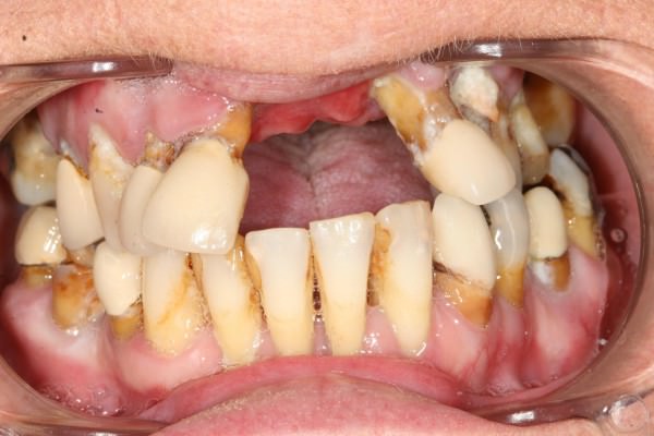
Кариес курильщика
Зубы курильщиков удивительно гармонируют с цветом их лица и даже кончиков пальцев, в которых держится сигарета. Этот коричневый налет с вкраплениями пятен можно было бы считать оригинальным дизайнерским решением и желанием подчеркнуть свою необычность, если бы дело ограничивалось лишь эстетикой.
Зубной налет. Несвежее дыхание. Запах табака на пальцах
Секси? Конечно, особенно зубной налет, несвежее дыхание и запах табака на пальцах…
Язык курильщика
Под воздействием никотина язык курильщика приобретает характерные черты. Прежде всего, изменения касаются вкусовых рецепторов. Никотин и высокая температура приводят к гибели чувствительных клеток, из-за чего курильщик не в состоянии ощутить полный вкус еды или напитков — так называемая дисгевзия.
Почему от курения на языке появляется налет
Курение - вредная привычка, вызывающая массу отрицательных побочных эффектов. Один из них - появление налета на языке. При длительном курении он становится плотным, и избавиться от него достаточно сложно. Почему от курения на языке появляется налет, о чем он свидетельствует и как с ним бороться - об этом мы хотели бы рассказать подробнее.
Как отбелить зубы после курения
Красивая улыбка, белоснежные зубы и свежее дыхание – сколько вы готовы заплатить за такое удовольствие? К сожалению, сегодня без услуг стоматологов и ортодонтов могут обойтись только единицы, а если вы еще и курите… Практически у всех курильщиков, не безразличных к своей внешности, рано или поздно возникает вопрос, как отбелить зубы после курения и можно ли это сделать в домашних условиях или без помощи специалиста с налетом не справиться?
Понятно дело, что зубы из кабинета стоматолога нас мало интересуют. Ну, нет их больше, так что их жалеть? А вот что собой представляют самые дорогие и любимые сердцу частички нашего тела, оставшиеся во рту прилежно курящего хозяина, мы и попытаемся выяснить.