Статьи посвященные вреду наносимому здоровью курильщика табачными изделиями. Обсуждение материалов сайта и связи курения и здоровья.
Туберкулез одна из самых древних болезней, существовавших на Земле. В подтверждение этому факту служат находки египетских мумий, у которых обнаружили туберкулезное повреждение позвоночника. В Древней Греции люди тоже знали об этом недуге. Он назывался phtisis, что в переводе на русский означает "чахотка", "истощение". Древние врачи подчеркивали, что при туберкулезе начинается резкое ухудшение самочувствия.
3 ответа
Вегето-сосудистая дистония - очень расплывчатый диагноз. Это заболевание характеризуется набором симптомов, которые свидетельствуют о сбоях в вегетативной нервной системе. Существует несколько форм ВСД, которые проявляются по-разному. Что такое курение известно всем. Главный вопрос: как сочетается ВСД и курение? К каким последствиям это может привести?
36 ответов
173 ответа
Соляная пещера. Наслаждайся воздухом в своих легких!
Всем известно, что курение вредит здоровью. Но ведь этой вредной привычке столько же лет, сколько и человек существует на Земле. И сколько бы Минздрав не предупреждал, люди всё равно курят.
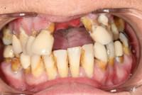
Красивая улыбка, белоснежные зубы и свежее дыхание – сколько вы готовы заплатить за такое удовольствие? К сожалению, сегодня без услуг стоматологов и ортодонтов могут обойтись только единицы, а если вы еще и курите… Практически у всех курильщиков, не безразличных к своей внешности, рано или поздно возникает вопрос, как отбелить зубы после курения и можно ли это сделать в домашних условиях или без помощи специалиста с налетом не справиться?
5 ответов
5 ответов
4 ответа
Вы знаете, что курение вредно? Конечно, знаете. А о влиянии курения на половую систему мужчин и женщин? К сожалению, об этом большинство курильщиков задумываются только тогда, когда появляются проблемы в половой жизни, ну или обнаруживаются трудности с зачатием.
9 ответов
О том, насколько вредны сигареты для здоровья – знают все, а вот о влиянии курения на психику, большинство курильщиков даже не задумываются. А ведь уже проведено множество исследований, убедительно доказывающих – у курильщиков портится не только характер, но и повышается уровень тревожности, раздражительности и эмоциональной неустойчивости. Интеллектуальные способности и память, наоборот, снижаются. Что же происходит с психикой человека при курении табака?
12 ответов
О вреде курения знают абсолютно все подростки, в наше время антитабачную пропаганду начинают вести еще с начальных классов. Вот только количество подростков с сигаретой от этого не уменьшается. Согласно статистике, в нашей стране, как в прочем и за рубежом, уже к 13-14 годам больше половины школьников пробуют курить, причем примерно треть из них серьезно «подсаживается» на сигареты.
14 ответов