Эту болезнь можно назвать любимой болезнью курильщиков. Но вовсе не потому, что они от нее чаще страдают, а как раз наоборот — достоверно установлено, что неспецифический язвенный колит у курильщиков встречается гораздо реже.
Среди курильщиков это заболевание встречается примерно у 0,35—0,5 человек из 1000, тогда как среди некурящих — у 0,5—1,8 из 1000 человек. Пока врачи затрудняются ответить на вопрос, с чем это связано. Почему этот колит назван неспецифическим?
Связано это с тем, что причина развития колита и появления язв кроется в неспецифической реакции организма на ткани собственного кишечника, в результате которой развивается воспаление, а затем и язвенный процесс.
Причины
Почему кишечник вдруг перестает «узнавать» сам себя — пока неизвестно. Подозревают в этом генетическую предрасположенность, но тогда неясно, почему у одних воспалительно—язвенный процесс стартует, а других — нет.
Иногда неспецифический язвенный колит развивается у страдающих аллергией, в том числе пищевой, но при этом миллионы людей с такой же аллергией не заболевают НЯК. Одним словом, ученые пока в поиске тех факторов, что запускают сложную аутоиммунную реакцию, приводящую к развитию неспецифического язвенного колита.
Симптомы
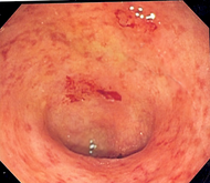
Ведущая жалоба — понос, чаще всего с примесью «свежей» крови. Если не обращать внимания на этот тревожный сигнал, то впоследствии в кале появляется гной, слизь, в том числе окрашенная в алый цвет — признак кишечного кровотечения. Иногда больные испытывают неудержимое желание опорожнить кишечник, однако оказывается, что позыв был ложным. Нередко поноса нет, то есть кал вполне оформлен, но больные жалуются, что стул у них учащается до 10—15 раз за сутки, не прекращаясь даже ночью.
Позднее присоединяется боль, она чаще локализуется слева, носит невыраженный, нерезкий характер, но способна измучить больного своим постоянством и отсутствием реакции на симптоматическую терапию. Чем запущеннее болезнь, тем более выражены общие симптомы: похудание, слабость, головные боли, перемежающаяся лихорадка, отсутствие аппетита.
Диагноз и лечение
Для врача—гастроэнтеролога дифференциальный диагноз неспецифического язвенного колита от других кишечных патологий не представляет особой сложности. Но несмотря на некоторую простоту, требуются такие обследования, как посевы кала и крови, в том числе на гельминты, колоноскопия (с осмотром доступных отделов подвздошной кишки) с биопсией подозрительных участков с последующей их гистологией.
Лечение начинается сразу после подтверждения диагноза, и заключается в назначении противовоспалительных препаратов, специфически действующих на слизистую кишечника. Применяется гормонотерапия — в редких случаях, так как она может усугубить течение заболевания, по показаниям — антибиотики.
Необходимо соблюдение диеты — стол № 4 по Певзнеру и его модификации при осложнениях — от стола 4а до 4в. По достижению стойкой ремиссии больной может переходить на обычное питание с исключением продуктов, вызывающих обострение.
