Эмфизема легких – весьма распространенная форма неспецифических заболеваний легких. При эмфиземе легких происходит патологическое расширение воздушных пространств легочных бронхиол. Кроме этого деструктивно изменяются альвеолярные стенки.
Причины эмфиземы легких
Причины эмфиземы легких условно подразделяют на две группы.
I. Патологическая микроциркуляция, врожденный дефицит α-антитрипсина, изменение свойств сурфактанта, вредные вещества в воздухе (окислы азота, соединения кадмия, пыль, табачный дым и т.п.). Эти факторы способствуют нарушению прочности и эластичности структуры легких. Развивается первичная диффузная эмфизема. Происходит патологическая реструктуризация всего дыхательного отдела легкого. Во время выдоха, когда повышается внутригрудное давление, мелкие бронхи пассивно спадаются, бронхиальное сопротивление увеличивается, а, следовательно, повышается давление в альвеолах. Это происходит как последствие ослабления эластических свойств легких из-за диффузной эмфиземы, потому что мелкие бронхи изначально не имеют хрящевого каркаса.
Но бронхиальная проходимость при первичной эмфиземе все еще не нарушена. Все альвеолы ацинуса легких поражаются равномерно. Развивается панацинарная эмфизема, происходит атрофия межальвеольных перегородок и редукция капиллярного русла. Однако бронхи и бронхиолы не подвержены обструкции, т.к. отсутствуют воспалительные изменения.
II. Хронический обструктивный бронхит, характеризующийся обструкцией дыхательных путей – основной фактор развития вторичной (обструктивной) эмфиземы легких. При хроническом обструктивном бронхите создаются благоприятные условия для формирования механизма растяжения альвеол, что в свою очередь – причина вторичной эмфиземы легких.
У больных во время выдоха понижается внутригрудное давление. Бронхиальный просвет растягивается, уменьшая бронхиальную обструкцию. В то же время, при выдохе положительное грудное давление усугубляет бронхиальную обструкцию (по причине дополнительной компрессии). Таким образом, инспирированный воздух задерживается в альвеолах, способствуя их перерастяжению. Возможно даже распространение воспаления с бронхов на прилегающие альвеолы. Это ведет к разрушению межальвеольных перегородок.
Характерными для вторичной эмфиземы являются вздутие респираторных альвеол и изменение альвеол, ближайших к ним. Подобное заболевание носит название центроацинарной эмфиземы.
Признаки обструктивной эмфиземы:
- альвеолы утолщенные, с расширенными устьями;
- гипертрофия, а затем и дистрофия гладкомышечных пучков;
- выпрямление эластических волокон;
- респираторные бронхиолы с истонченными стенками;
- сниженное количество капилляров и клеточных элементов.
Поздние стадии заболевания отличаются серьезным нарушением и полным исчезновением структурных элементов респираторного отдела легких.
Симптомы эмфиземы легких
Симптомы эмфиземы легких ярко выражены. Это, прежде всего, одышка. Особенно тяжелая форма одышки возникает при первичной эмфиземе. Именно она, при полном отсутствии кашля, свидетельствует о начале развития заболевания. У человека, больного первичной эмфиземой, даже в состоянии покоя объем вентиляции предельно велик, поэтому больной не может переносить минимальные физические нагрузки. Такой больной будет интенсивно «пыхтеть» (прикрывая при выдохе рот и надувая щеки) для повышения внутрибронхиального давления и увеличения объема вентиляции.

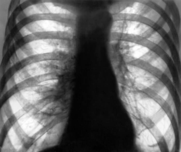
При вторичной эмфиземе происходят серьезные нарушения газового состава крови. Также при обоих видах эмфиземы уменьшаются дыхательные экскурсии, грудная клетка становится бочкообразной. Надключичные области выбухают, появляется перкуторный звук, уменьшается подвижность диафрагмы и ее расположение. На рентгенограмме видна повышенная прозрачность легочных полей.
Прогноз
Выздоровление обычно не наступает, по той причине, что восстановить разрушенные альвеолы в наше время невозможно. Скорость развития лекочной и сердечной недостаточности во многом определяет прогноз течения заболевания приводящей в конечном итоге к инвалидизации.
Профилактика
Профилактика заключается в своевременной диагностике и лечении хронических заболеваний легких, прежде всего хронического бронхита.
Лечение эмфиземы легких
Лечение эмфиземы легких — вне зависимости от этиологии, степени нарушений, выраженности клиники — всегда является симптоматическим: даже на ранних стадиях развития заболевания изменения, произошедшие с легочной тканью и альвеолами, необратимы и пожизненно устойчивы.
Основное направление терапии — поддержание адекватного уровня оксигенации организма, профилактика осложнений (в том числе вызванных инфекциями), поддержание трофики и функций сохранившейся легочной ткани.
Для достижения этих целей назначаются бронхорасширяющие средства, глюкокортикоидные препараты, постоянная или регулярная кислородотерапия — за рубежом используются переносные оксигенаторы, которые существенно облегчают жизнь больных эмфиземой. Использовать оксигенотерапию без назначения врача нельзя: в некоторых случаях (при гиперкапнии — избытке углекислоты на фоне дыхательной недостаточности) повышение уровня кислорода может привести к резкому ухудшению состояния вплоть до остановки дыхания.
При развитии «легочного сердца» назначают мочегонные и препараты, улучшающие работу сердца.
Должны быть устранены все факторы риска, могущие привести к осложнениям: курение, в том числе пассивное, работа и проживание в неблагоприятных условиях, а физическая нагрузка подбирается таким образом, чтобы исключить усиление симптоматики и/или провокацию ухудшения.
Лечение эмфиземы легких в Израиле
Для тех, кто каким-то образом уже знаком с Топ Ихилов Клиник — либо лечился сам, либо знает от родственников, друзей или знакомых — вопрос, где лечить эмфизему легких в Израиле даже не ставится на повестку дня. Зачем заниматься поиском подходящей клиники, если все уже давно найдено и с успехом опробовано десятками тысяч российских туристов?
Для больных эмфиземой легких Топ Ихилов Клиник может предложить исчерпывающий пакет услуг, в которые входит доскональная диагностика, ультрасовременные методы хирургического и медикаментозного лечения и реабилитации. В клинике проводятся минимально инвазивные операции по уменьшению объема легких, предусматривающие проведение всех манипуляций через микросокпические разрезы.
Под крышей Топ Ихилов собраны сливки израильской пульмонологии: профессоры Иссахар Бен-Дов и Яаков Сиван, доктор Иехуда Шварц. Несмотря на мировую известность, они остаются абсолютно доступными для всех, кто нуждается в помощи.
Узнать подробнее о лечении эмфиземы легких в Израиле...
Гимнастика при эмфиземе
Одним из обязательных компонентов паллиативной терапии эмфиземы легких является лечебная гимнастика. Цель ее назначения — правильное дыхание с максимальным вовлечением в процесс диафрагмы и межреберных мышц.
Комплекс упражнений подбирается таким образом, чтобы увеличить силу мышц грудной клетки, повысить подвижность ребер, научить пациента делать вдох, при котором максимально работает диафрагма, и удлиненный выдох, способствующий снижению содержания остаточного воздуха в легких.
Рекомендуется лечебная ходьба на короткие расстояния (от 200 до 800 метров, в зависимости от состояния) в медленном или умеренном темпе с удлиненным выдохом, а после улучшения состояния — подъем по лестнице не выше третьего этажа с контролем дыхания.
Должны быть исключены натуживания, резкие движения, вдыхание больших объемов воздуха, задержка дыхания, быстрые по темпу или интенсивные упражнения. На начальных этапах гимнастика проводится в положении лежа и сидя, с расширением режима вводятся упражнения стоя.
Правильно подобранный комплекс упражнений оказывает эффект за счет улучшения кровообращения, активной работы сохранившихся альвеол.
Буллезная эмфизема легких
Буллезная эмфизема легких (е. pulmonum bullosum) рассматривается многими врачами и исследователями как процесс диспластического развития ткани, а также как проявление генетических и наследственных отклонений. Этиология и патогенез буллезной эмфиземы пока еще не выяснены до конца.
Для буллезной эмфиземы типично образование так называемых булл — воздушных пузырьков разного размера, концентрирующихся в основном в краевых отделах легких. Буллы могут быть множественными и единичными, локальными и распространенными, их размер варьирует от 1 до 10 см.
Для буллезной эмфиземы характерное ранее развитие дыхательной недостаточности, которая развивается не только вследствие собственно эмфиземы, но из-за сдавления буллами окружающей здоровой ткани. Функциональность участка с буллами и расположенного рядом с ними (с морфологически неизмененной тканью) резко нарушается.
В последнее время для лечения буллезной эмфиземы (особенно при гигантских или распространенных буллах) стали использовать технику оперативного вмешательства, при котором буллезные ткани удаляются. Это позволяет улучшить состояние и функциональность здоровых тканей, снизить выраженность остроту процесса. К полному излечению подобный метод, конечно, не приводит, а малый опыт его применения, отсутствие оценки отдаленных последствий и разрозненность данных о смертности мешают широкому внедрению этой операции.
Диффузная эмфизема легких
Первичная диффузная эмфизема легких (е. pulmonum secundarium diffusum) рассматривается как самостоятельная нозологическая единица, в которую включены различные варианты протекания заболевания. До сего дня причины диффузной эмфиземы окончательно не выяснены, однако прочно установлена связь между хроническими обструктивными заболеваниями бронхов и последующим развитием эмфиземы. Вторичная диффузная эмфизема часто является следствием бронхита, хронической бронхообструкции, пневмосклероза.
Патогенетически диффузная эмфизема проявляется функциональными и механическими нарушениями работы легочной ткани, которые приводят к развитию вторичной бронхиальной обструкции, хроническому повышению внутригрудного давления, спадению просвета бронхов, пневмосклерозу. Эти нарушения носят разлитой (диффузный) характер, хотя в некоторых случаях пораженная область может быть небольшой.
Именно на фоне изменений при эмфиземе развиваются ее признаки: увеличение объема грудной клетки, снижение частоты и глубины дыхания; выбухание межреберных промежутков и горизонтальное расположение ребер; пыхтенье как способ компенсировать низкое давление в бронхах; перкуторный коробочный звук из-за повышения воздушного содержимого легких и снижения эластичности тканей.
Осложнения
Разнообразие форм протекания эмфиземы легких способствует большому количеству возможных осложнений. Большинство из них типичны для всех форм эмфиземы, однако имеется разница в скорости и интенсивности их проявлений.
По этой же причине невозможно определенно дать прогноз о сроках наступления инвалидности и летального исхода: могут влиять (причем разнонаправленно) и интенсивность процессов, и степень их распространенности, и индивидуальные особенности организма пациента.
Самыми частыми осложнениями эмфиземы являются:
- дыхательная недостаточность;
- сердечная недостаточность;
- комплекс симптомов, сопровождающих правожелудочковую недостаточность;
- спонтанный пневмоторакс;
- присоединения инфекции, переход ее в хронические, трудно поддающиеся терапии формы.
Лечение народными способами
Как и аллопатическая медицина, народные методы лечения эмфиземы предлагают средства для поддерживающей терапии. Это применение трав, обладающих бронхолитическим действием, способствующих лучшему отхождению мокроты, улучшающих трофику легочной ткани, снимающих появления воспаления. В качестве вспомогательного средства применяются также народные и растительные средства, поддерживающие активность иммунной системы, способствующие профилактике инфекций.
Используются ботва картофеля, гречиха, мелисса и мята, корни девясила, тимьян, шалфей. Из отхаркивающих народная медицина рекомендует применять листья эвкалипта, корни солодки голой, анис, корень алтея, траву хвоща полевого. Травы могут применяться по отдельности или в виде сборов, путем приготовления из них отваров и настоев.
Следует помнить, что лечение народными методами является вспомогательным и требует постоянства и тщательного соблюдения рекомендаций.
Фотографии эмфиземы
В историях болезни можно обнаружить интересные рентгеновские снимки, наглядно демонстрирующие патологическую картину эмфиземы легких. Отчетливо видны буллы при буллезной форме — в виде светлых округлых полостей. Обеднение сосудистого рисунка, уплощение диафрагмы, прозрачные легочные поля типичны для диффузных форм эмфиземы.



А какой бы вы хотели видеть жизнь без сигарет? Что в ней должно измениться, чтобы сигареты ушли?
Впрочем, это понятно, почему не видите. Столько лет курить, курение попросту встроилось в вашу жизнь, отсюда такое.